Welcome to our Smile Gallery! Dr. Hoang Truong has many years of experience in helping patients achieve beautiful smiles. Please explore our gallery to see some of the amazing results we have accomplished. To learn more about dental care in Sacramento, California, and to make your appointment, please call Gateway Oaks Dental today.
Before
After
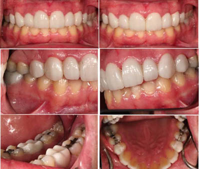
This patient needed help with her crooked teeth. We helped to get her teeth fully straightened out, now having a beautiful smile!
Before
After
Before
After
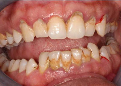
Gum Disease
Before
After
This patient had a severe case of gum disease on the first visit. We performed our highly effective gum disease treatment with spectacular results.
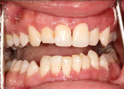
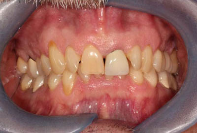
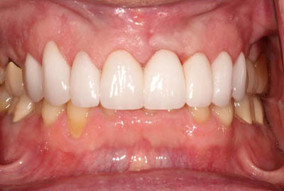
Porcelain Veneers
Before
After
This patient came in with teeth that were slightly skewed. We replaced the front row of teeth with porcelains and the results speak for themselves.
Braces
This patient needed braces to correct the slight variations and gaps between them. Final result was a beautifully straight smile.
Whitening
This patient came in with teeth that had yellowed over time. We performed our highly effective teeth whitening procedure to whiten their smile.
Gummy Smile Correction
This patient came in with a smile that exposed more gums than what was desired. We performed a smile correction procedure that enhanced the appearance of her smile.
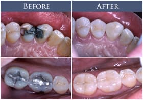
White Fillings
This patient had old fashioned fillings done and were not too appealing to the eye. We performed a more modern natural filling procedure that completely transformed the appearance of her dental fillings.













